Skip to content
Home
About Us
Our Doctors
Services
DIGITAL X-RAY
Missing teeth or gaps in your smile?
Dental Implants
Experience Digital Impression
Our Mission & Goals
Gallery
Contact Us
Home
About Us
Our Doctors
Services
DIGITAL X-RAY
Missing teeth or gaps in your smile?
Dental Implants
Experience Digital Impression
Our Mission & Goals
Gallery
Contact Us
Call Us
+91 884 999 3549
Book Appointment
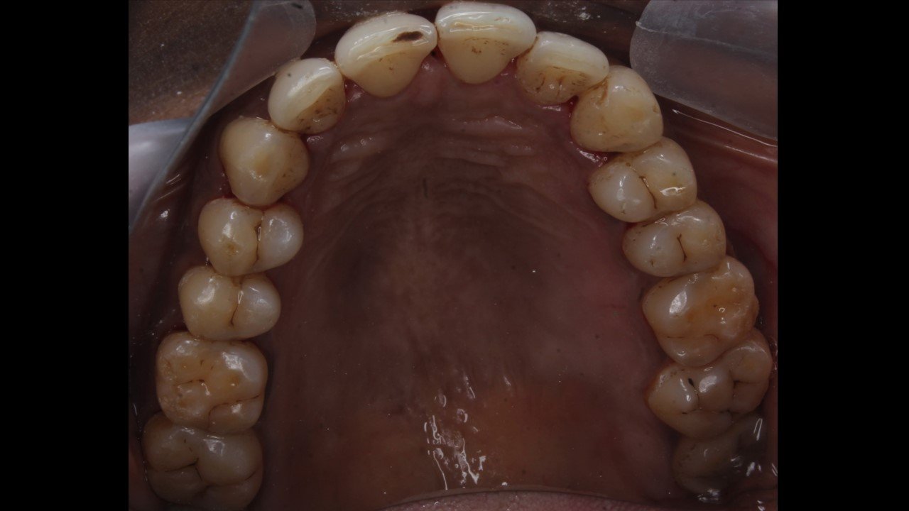
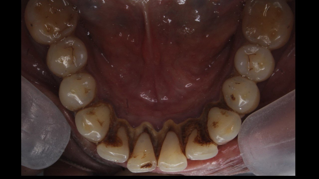
Scaling (Cleaning)
Home
>
Gallery
>
Scaling (Cleaning)
Case 1